Infinity™
Esophageal Dilation System
Rethink Dilation
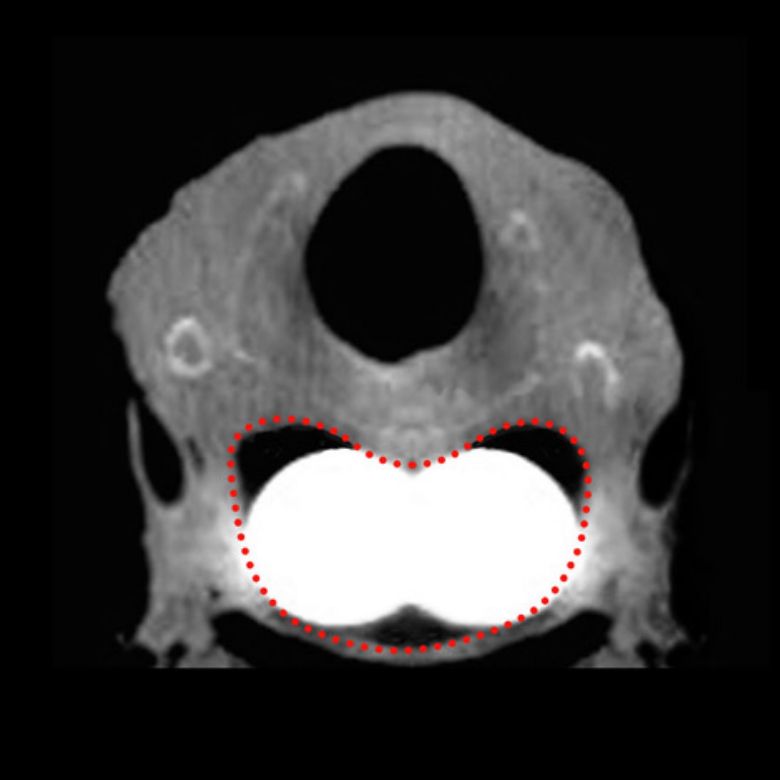
Contemporary research has confirmed that the upper esophageal sphincter is not round. Conventional devices address less than half of the mean cross section of the upper esophageal sphincter1,2.
Infinity™ Esophageal Dilation System is designed for the treatment of swallowing impairment caused by upper esophageal sphincter dysfunction. Simple transnasal system with unrivaled size range.

Contoured to the physiology of the Upper Esophageal Sphincter
Intelligent shape and unrivaled size range
Infinity™ is contoured to the specific physiology of the upper esophageal sphincter, providing nearly double the lateral inflation dimension of conventional devices. Available exclusively from Bryan Medical.



The Infinity™ Esophageal Dilation System provides nearly double the lateral inflation dimension of conventional devices.
Infinity™ Specifications
Catheter length is 110 cm
| Product Number | Inflation Pressure | Inflated Balloon - Lateral Dimension | Inflated Balloon - AP Dimension | Inflated Balloon Length | |
|---|---|---|---|---|---|
| INFINITY 1000- THE FARWELL | INF1023 | 5 atm | 23 mm | 11.5 mm | 55 mm |
| INFINITY 2000- THE BRODIE | INF2027 | 4 atm | 27 mm | 13.5 mm | 55 mm |
| INFINITY 3000- THE MERATI | INF3032 | 4 atm | 32 mm | 16 mm | 55 mm |
| INFINITY 5000- THE POSTMA | INF5038 | 4 atm | 38 mm | 19 mm | 55 mm |
| Disposable Inflation Device | QL6015 | - | - | - | - |
1 Three-dimensional Analysis of the Human Pharyngoesophageal Sphincter, The Laryngoscope, The American Laryngological, Rhinological and Otological Society, Inc. (2019) Derrick R. Randall, MD, MSc; Daniel J. Cates, MD; E. Brandon Strong; Peter C. Belafsky, MD, PhD, MPH
2 Geometric Morphometric Shape Analysis in an Ovine Model Confirms That the Upper Esophageal Sphincter is Not Round The Laryngoscope, The American Laryngological, Rhinological and Otological Society, Inc. (2012) Daniel J. Cates, MD; Emily K. Plowman, PhD; Omid Mehdizadeh, MD; Kaicheng Yen, MD; Amanda Domer, MS; Michael Gilden; Peter C. Belafsky, MD, MPH, PhD

